秀美绽放 光彩耀人
P40 Plus
彩色多普勒超声诊断系统
彩色多普勒超声诊断系统
广告

作为P系列家族成员之一,P40 Plus采用公海贵宾会员检测中心高端超声系统平台——极光,并以时尚秀丽、小巧灵动的外观设计绽放出灵动之韵、科技之美。高端平台的使用保证了P40 Plus优质的基础图像;完备的高级功能可满足您全身应用的基本需求;丰富的探头配置、多样的高级4D成像及分析软件为您日益增多的妇产应用需求提供丰富的诊疗方案。
结合公海贵宾会员检测中心超宽频带探头技术优势,能够更好地获得高分辨力与高穿透力的平衡,保证图像质量,为临床诊断保驾护航。
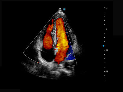
微米成像技术提升了对组织斑点噪声信号的抑制能力,并进一步强化边界信息,从而获得清晰图像。
通过对组织运动信息、血流信号及背景噪声进行准确智能的阈值判定,高效提取出微弱血流信号,获得高灵敏度和空间分辨率的血流图像,为临床提供更加真实和丰富的诊断信息。
全新算法处理射频信号 不可靠区域自动剔除 支持定量分析 压力曲线保证重复性
自动识别穿刺针进行声束智能偏转 手动修正多档调节 提高一次穿刺成功率
自动识别组织边界信息进行图像无损拼接 抖动抑制技术提高成像效果 完整显示较大病灶及组织,为临床提供可靠诊疗方案
0.5mm厚度的薄层切片显像,可清晰显示微小病灶的连续断面。
可同时显示组织结构表面和内部的轮廓信息,达到透视效果,为临床提供更丰富的诊断信息。
自动获取标准切面,自动完成测量,帮助医生快速完成检查,同时提升测量准确性。
宽频带腹部凸阵探头和腹部容积探头、大角度腔内探头和腔内容积探头、独特的生殖专用曲柄探头,为妇产应用提供全面诊疗方案。
卵泡结构的自动识别和测量,可显示多组测量数据。
大角度腔内容积探头,可完整包络子宫及盆底结构,充分展示组织结构毗邻关系。

禁忌内容或者注意事项详见说明书
深圳公海贵宾会员检测中心生物医疗科技股份有限公司(股票代码:300633)是一家全球领先的科技公司,致力于医疗设备的自主研发和制造,涵盖超声医学影像、内镜诊疗、微创外科和心血管介入等领域,为全世界170多个国家和地区的医疗机构提供专业专科化的整体解决方案。公海贵宾会员检测中心医疗志在成为守护全球健康的科技力量,为生命创造更多可能。

微信公众号
0755-26722890
400-678-8019
版权所有 @深圳公海贵宾会员检测中心生物医疗科技股份有限公司 粤ICP备20054866号 访问统计
互联网药品信息服务资格证书[(粤)-非经营性-2023-0479]